亲爱的读者们,你是否在寻找那些让人眼前一亮、心情愉悦的最新视频精品国产呢?那就跟着我一起,踏上一段视觉盛宴的旅程吧!一、国产动画...
娱乐圈大号吃瓜,揭秘明星们的幕后故事亲爱的读者们,你是否也和我一样,对娱乐圈的八卦新闻充满了好奇?那些光鲜亮丽的明星们,背后又有...
你有没有听说最近娱乐圈里的大瓜?那可是让人瞠目结舌,简直比电视剧还精彩!今天,咱们就来聊聊这位在娱乐圈里摆烂吃瓜的女主角,她叫什...
娱乐圈吃瓜爆料天王是谁?亲爱的读者们,你是否也和我一样,每天沉迷于娱乐圈的八卦新闻,渴望一探究竟?今天,就让我带你揭开娱乐圈吃瓜...
动漫迷们,你是否曾为错过一部经典动漫而遗憾?别担心,今天我要给你带来一个超级福利——无限之住人动漫下载!没错,就是那部让你心跳加...
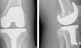
你有没有想过,当你的膝关节像老化的弹簧一样“嘎吱嘎吱”作响时,会有一种神奇的手术能把它换成一个全新的呢?没错,就是膝关节置换手术...
最近娱乐圈可是热闹非凡啊!这不,又有几位明星被爆出出轨丑闻,吃瓜群众们纷纷拿出手机,准备大饱眼福。今天,就让我带你一起来看一看,...
亲爱的网友,你是不是也和我一样,在浏览网页时,无意间发现了一个超级有趣的视频,想要下载下来反复观看呢?别急,今天就来教你怎么轻松...
你有没有发现,动漫世界里那些甜蜜的接吻镜头总是让人心跳加速呢?今天,就让我带你一起探索这个充满浪漫与幻想的动漫接吻世界吧!动漫接...
亲爱的读者,你是否曾在某个闲暇的午后,被手机屏幕上跳动的视频吸引?今天,我要和你聊聊一个特别的存在——青青草手机视频。它就像是一...